Test Overview
A breast
ultrasound uses sound waves to make a picture of the
tissues inside the breast. A breast ultrasound can show all areas of the
breast, including the area closest to the chest wall, which is hard to study
with a
mammogram. Breast ultrasound does not use
X-rays or other potentially harmful types of
radiation.
A breast ultrasound is used to see whether a breast
lump is filled with fluid (a
cyst) or if it is a solid lump. An ultrasound does not
replace the need for a mammogram, but it is often used to check abnormal
results from a mammogram.
For a breast ultrasound, a small
handheld unit called a
transducer is gently passed back and forth over the
breast. A computer turns the sound waves into a picture on a TV screen. The
picture is called a sonogram or ultrasound scan.
Why It Is Done
Breast ultrasound can add important information to the results of other tests, such as a mammogram or magnetic resonance imaging (MRI). It also may provide information that is not found with a mammogram. A breast ultrasound may be done to:
- Find the cause of breast symptoms, such as
pain, swelling, and redness.
- Check a breast lump found on breast
self-examination or physical examination. It is used to see whether a breast
lump is fluid-filled (a cyst) or if it is a solid lump. A lump that has no
fluid or that has fluid with floating particles may need more
tests.
- Check abnormal results from a mammogram.
- Look at
the breasts in younger women because their breast tissue is often more dense,
and a mammogram may not show as much detail.
- Guide the placement
of a needle or other tube to drain a collection of fluid (cyst) or pus (abscess), take
a sample of breast tissue (biopsy), or guide breast surgery.
- Watch for changes in the size of a cyst or a noncancerous lump (fibroadenoma).
- See how far cancer has spread in a breast.
- Check your
breasts if you have silicone breast implants or dense breasts. In these
situations, a mammogram may not be able to see breast lumps.
How To Prepare
Wear a two-piece outfit so that it is
easy to undress above the waist.
Talk to your doctor
about any concerns you have regarding the need for the test, its risks, how it
will be done, or what the results will mean. To help you understand the
importance of this test, fill out the
medical test information form(What is a PDF document?).
How It Is Done
A breast ultrasound is usually done by
a specially trained technologist.
You will be asked to undress
above the waist. You will be given a gown to drape around your shoulders.
Remove all jewelry from around your neck.
Gel will be put on your
breast so the transducer can pick up the sound waves as it is moved back and
forth over the breast. A picture of the breast tissue can be seen on a TV
screen.
A breast ultrasound test usually takes between 15 and 30
minutes. More time may be needed if a breast exam will be done or if a biopsy
is also planned. You may be asked to wait until a
radiologist has reviewed the pictures. The radiologist
may want to do more ultrasound views of some areas of your breast.
How It Feels
The gel may feel cold when it is put on
your breast. You will feel light pressure from the transducer as it passes over
your breast, but you should feel no discomfort unless your breast is tender
because of
fibrocystic breast changes, an abscess, or another
infection. You will not hear the sound waves. A special Doppler ultrasound may
be used to check the blood flow to the breast; you can hear the sound waves
from this type of ultrasound.
Risks
There are no known risks in having a breast
ultrasound test.
Results
A breast
ultrasound uses sound waves to make of picture of the
tissues inside of the breast.
The
radiologist may discuss the results of the ultrasound
with you right after the test. Complete results are usually available to your
doctor in 1 to 2 days.
Breast ultrasound Normal: | - The breast tissue looks normal. If
the test is done on both breasts, the tissue looks similar.
|
---|
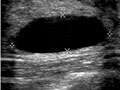
Abnormal: | - A fluid-filled sac (cyst) is present. A fluid-filled lump that is evenly
shaped and has no particles floating in it is likely to be a simple cyst. This
may not need more tests. See an ultrasound image of a
simple breast cyst.
- A cyst is found that has particles in it (a
complex cyst). This may need more tests.
- A lump is found that looks
solid. Depending on the lump, your age, and other medical factors, you may need
a
biopsy or follow-up with other tests.
|
---|
What Affects the Test
You may not be able to have the
test or the results may not be helpful if you have an open wound in the breast
area.
What To Think About
- An ultrasound-guided breast biopsy may allow your doctor to
confirm a suspicious lump is
not cancer (benign) without surgery.
- A breast
ultrasound may occasionally be used instead of a
mammogram if you are younger than 30 and have concerns
about
X-rays or should not be exposed to any radiation
because you are pregnant. To learn more, see the topic
Mammogram.
- A breast ultrasound may be
useful for screening young women with a family history of breast cancer. More
study is needed to see if ultrasound is good for this purpose.
- An
ultrasound does not replace a mammogram. An ultrasound can be used to check a
problem seen on a mammogram. It can also be used to show more detail in women
who have dense breasts.
- A breast
MRI is another type of test that may be used for
breast exams after surgery or to check dense breast tissue. Breast MRI may be used along with a mammogram and breast ultrasound to check breasts or breast lumps.
References
Other Works Consulted
- Fischbach FT, Dunning MB III, eds. (2009). Manual of Laboratory and Diagnostic Tests, 8th ed. Philadelphia: Lippincott Williams and Wilkins.
- Pagana KD, Pagana TJ (2010). Mosby's Manual of Diagnostic and Laboratory Tests, 4th ed. St. Louis: Mosby.
Credits
ByHealthwise Staff
Primary Medical ReviewerSarah Marshall, MD - Family Medicine
Specialist Medical ReviewerLaura S. Dominici, MD - General Surgery,