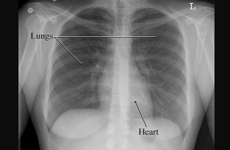
X-Ray of a Normal ChestCourtesy of Intermountain Medical Imaging, Boise,
Idaho. This is a picture of a normal chest X-ray of a woman showing the
air-filled spaces of the lungs and the more solid gray shape of the heart. The
lungs and heart are normal in size and shape. ByHealthwise Staff Primary Medical ReviewerAdam Husney, MD - Family Medicine Specialist Medical ReviewerHoward Schaff, MD - Diagnostic Radiology Current as ofOctober 14, 2016 Current as of:
October 14, 2016 Author:
Healthwise Staff Medical Review:
Adam Husney, MD - Family Medicine & Howard Schaff, MD - Diagnostic Radiology
|
|
|
|
|
|